Agosto se termina y se aproxima la operación retorno. Profesionales de los Hospitales Vithas Nisa han alertado los accidentes de tráfico son una de las primeras causas de muerte e incapacidad de miles de personas. De hecho, han matizado que según la Organización Mundial de la Salud (OMS) 1,3 millones pierden la vida anualmente en la carretera y casi 50 millones sufren secuelas de por vida.
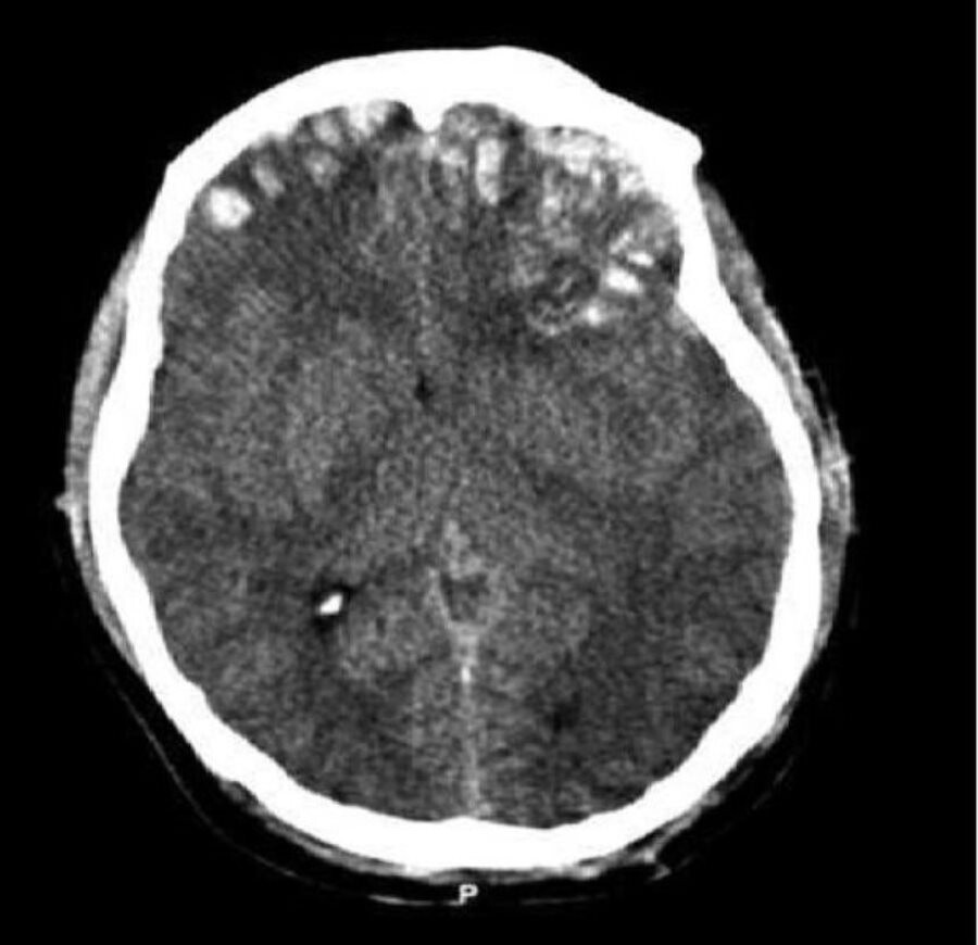
Los traumatismos craneoencefálicos son una de las consecuencias directas más severas de un accidente. El 70% de los TCE tienen su origen en un accidente de tráfico y las personas afectadas son principalmente jóvenes, han detallado estos profesionales.
La atención médica urgente es fundamental en un traumatismo de esta índole para alcanzar una estabilización clínica inicial, detallan. A partir de ahí, el pronóstico va a estar condicionado en gran medida por el tratamiento de rehabilitación, tanto por la calidad del mismo, como la intensidad y el momento de inicio. Tal y como explica el Dr. Joan Ferri, Director del Servicio de Neurorrehabilitación de Hospitales Vithas Nisa: «las consecuencias clínicas de un TCE son diversas. Frecuentemente, abarcan distintas esferas de la persona, como el intelecto, la movilidad o el carácter. Por ello, un correcto abordaje rehabilitador requiere un equipo de profesionales con experiencia y unos recursos especializados».
Según datos de la Federación Española de Daño Cerebral (FEDACE), en España se producen aproximadamente 35.000 ingresos hospitalarios por Traumatismo Craneoencefálico y alrededor de 4.500 de estas personas reciben el alta con alteraciones funcionales múltiples (físicas, sensoriales, cognitivas, conductuales, etc.). Entre ellos, aproximadamente, el 10% de los pacientes que han sufrido un traumatismo craneoencefálico grave, después del primer mes, se encuentran sin recuperar la conciencia.
Prácticamente, la totalidad de los traumatismos graves pierde la conciencia tras el accidente de tráfico y su recuperación dependerá de la gravedad de las lesiones siendo el periodo de coma un marcador pronóstico de la recuperación del paciente, según informa Carolina Colomer, Médico Rehabilitadora y Directora Clínico del Servicio de Neurorrehabilitación. Hospitales Vithas Nisa / COECS.
