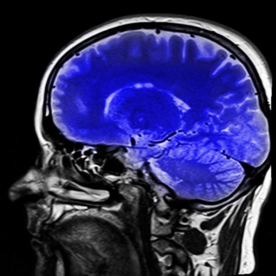
Una nota informativa reciente de la Agencia Española de los Medicamentos y Productos Sanitarios (AEMPS) recomienda dejar de usar gadolinio como medio de contraste en las resonancias magnéticas por haberse observado en pruebas clínicas una acumulación de este producto en el cerebro. Hasta ahora los agentes de contraste con gadolinio se estaban empleando para mejorar la calidad de las imágenes obtenidas mediante resonancia magnética (RM).
Según indica la AEMPS «recientemente, se ha constatado a través de estudios, que algunos de estos agentes de contraste podrían acumularse en el cerebro. Los datos disponibles sugieren que los contrastes con gadolinio de estructura lineal liberan gadolinio en mayor medida que los de estructura macrocíclica. Si bien la significación clínica de la acumulación cerebral de estos depósitos, resulta desconocida, el Comité para la Evaluación de Riesgos en Farmacovigilancia europeo (PRAC), ha recomendado adoptar una serie de medidas».
La AEMPS considera que el beneficio esperado de la administración intravenosa de los siguientes agentes de contraste lineales no supera a sus riesgos potenciales. Estos productos sanitarios son el ácido gadobénico, la gadodiamida, el ácido gadopentético y la gadoversetamida. Por ello, el PRAC ha recomendado la suspensión de su autorización de comercialización.
Por contra el balance beneficio-riesgo de los agentes de contraste macrocíclicos (gadobutrol, ácido gadotérico y gadoteridol) y los contrastes lineales, ácido gadoxético y ácido gadopentético «se considera favorable, siempre y cuando se utilicen a la menor dosis posible y cuando otras pruebas diagnósticas no se consideren adecuadas».
Estas recomendaciones han de hacerse efectivas mediante una Decisión de la Comisión Europea, mientras tanto, la AEMPS recomienda no utilizar los contrastes de gadolinio disponibles en España (ácido gadobénico y gadodiamida) y utilizar los demás contrastes de gadolinio a las dosis más bajas posible. COECS.
